Coloration MGG

Améliorez l’identification des CTC grâce à la coloration MGG

MGG staining
coloration MGG
coloration MGG
coloration MGG
MGG staining

Révélez les CTC sous un nouveau jour avec la coloration MGG

La coloration MGG est une méthode cytologique essentielle pour identifier et analyser les cellules tumorales circulantes (CTC) dans le sang. Grâce à son excellent contraste nucléaire et cytoplasmique, elle met en évidence les caractéristiques morphologiques distinctives des CTC, fournissant des informations précieuses pour la recherche en oncologie.

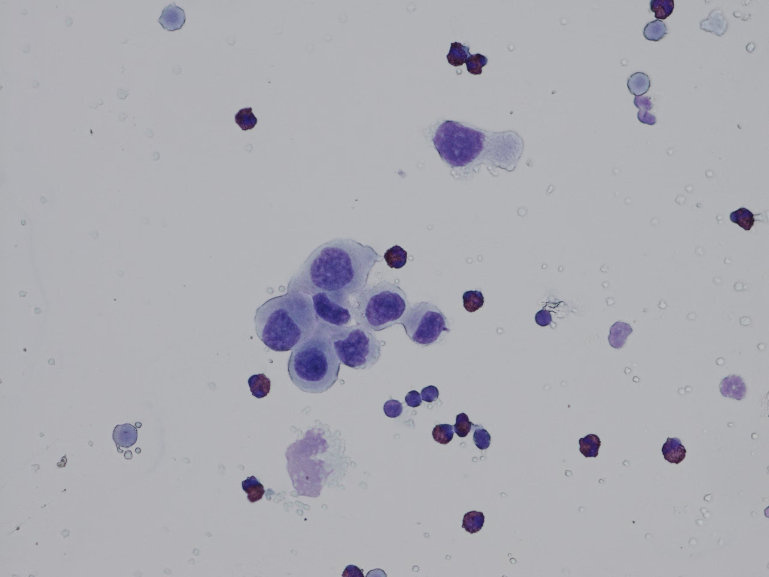
Lignée cellulaire du cancer de la prostate LNCaP

La technologie ScreenCell® permet non seulement la coloration MGG, mais aussi les colorations H&E et RAL555, offrant ainsi une grande flexibilité pour s’adapter aux exigences variées des applications cliniques et des projets de recherche.

Résultats de CTC par coloration MGG avec ScreenCell®

La coloration MGG est parfaitement compatible avec la technologie ScreenCell®, grâce à aux kits adaptés à cette analyse. Rapide à mettre en œuvre, elle permet de conserver fidèlement la morphologie des cellules tumorales circulantes (CTC).

Les kits ScreenCell pour la
coloration MGG

Kit CYTO, dédié aux applications de cytologie CYTO kit, a CTC isolation test for cytological analysis CTC isolation Kit

CYTO

Échantillon sanguin < 4 heures

Cellules fixées et analysées sur le support d’isolement

csb kit

CSB

Échantillon sanguin < 3 jours

Cellules fixées et analysées sur le support d’isolement

FCD

Échantillon sanguin < 3 jours

ou

Cellules fixées détachées
du support d’isolement pour analyse en suspension ou sur lame

FCD-SP

Échantillon sanguin < 4 heures

ou

Cellules fixées détachées
du support d’isolement pour analyse en suspension ou sur lame

LCD

Échantillon sanguin < 4 heures

Cellules vivantes détachées
du support d’isolement pour analyse en suspension

La technologie adoptée par les chercheurs pour la coloration MGG

Vous avez des questions ?
Nous avons les réponses

Non. Grâce à notre technologies les membranes des CTC restent intactes et les structures internes bien visibles, ce qui permet une analyse fine sans artefacts majeurs.

Vous recherchez une méthode simple pour l'isolement des CTC ?

Vous êtes au bon endroit !
Remplissez les champs ci-dessous et nous nous occupons du reste.

La biopsie liquide pour l'amélioration de la prise en charge des patients grâce à l'analyse des CTC

Envie d'en savoir plus ?

Téléchargez notre brochure

Suivez ScreenCell® sur LinkedIn